Michael Madden, DPM - White Plains Podiatrist

Our Services

Before and After

5th digital surgery
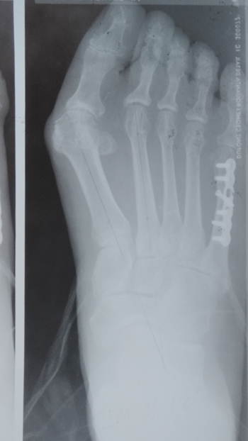
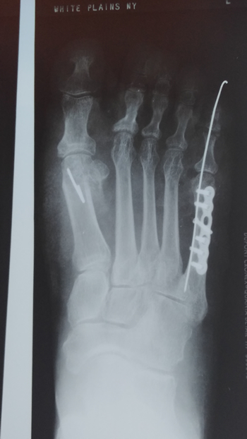
Pre & Post-op. Bunion and 5th Digital Surgery
Pre-op
Post-op

Monday 9:00 am - 5:00 pm
Tuesday     9:00 am - 5:00 pm
Thursday 9:30 am - 7:00 pm
Friday 9:00 am - 4:00 pm
Copyright © 2025 Michael Madden, DPM, PC. All rights reserved.
Podiatrist in White Plains | White Plains Foot Doctor
Web Site Design & Maintained by Physician WebPages